康美醫院網站|聯系我們
78歲老阿姨戴上新義牙,笑容滿分!
您現在的位置是:康美醫院網站 > 新聞動态 > 醫院動态 > 78歲老阿姨戴上新義牙,笑容滿分!

78歲老阿姨戴上新義牙,笑容滿分!

發布時間:2019-06-14 閱讀:3908




       傳統義齒制作技術目的是增加義齒基托的應力承載面積,帶來與牙槽嵴緊密接觸的内表面積,從而獲得好的固位和穩定,以提高咀嚼功能。
       現代吸附性義齒的設計,是通過移動性黏膜有效封閉義齒基托的整個邊緣,以便在吞咽和咀嚼時建立臨時性的負壓,阻止義齒在說話時上浮,增強義齒在功能運動時的固位和穩定。當移開義齒,會感受到負壓帶來的抵抗力。這種感覺就是吸附,它通過負壓增強固位力來增強傳統的固位和穩定機制。
       我院全口義牙的制作采用生物功能性修複系統BPS,可以解釋爲“由一系列步驟構成的系統,包括取模、咬合記錄、排牙、聚合、完成和交付。每一步都按照明确的BPS程序執行,使用義獲嘉·偉瓦登特的先進設備和材料,以患者的快樂爲終極目标。”
       下面附上全口義牙制作的過程。




        雲落78歲阿姨因牙周炎、齲齒等陸續缺失牙數年,最後一顆牙在1個多月前拔除。因進食不方便,現來我院口腔科就診。

一、術前評估


上颌牙槽寬高,黏膜組織厚度正常

下颌牙槽低平,舌後退時海綿體欠缺

無口幹症,唾液黏稠度正常

颌位關系穩定,上下牙弓比例可




二、初印模




三、尋找中性區




四、定颌位關系




五、試排牙後行邊緣整塑

 


六、終印模




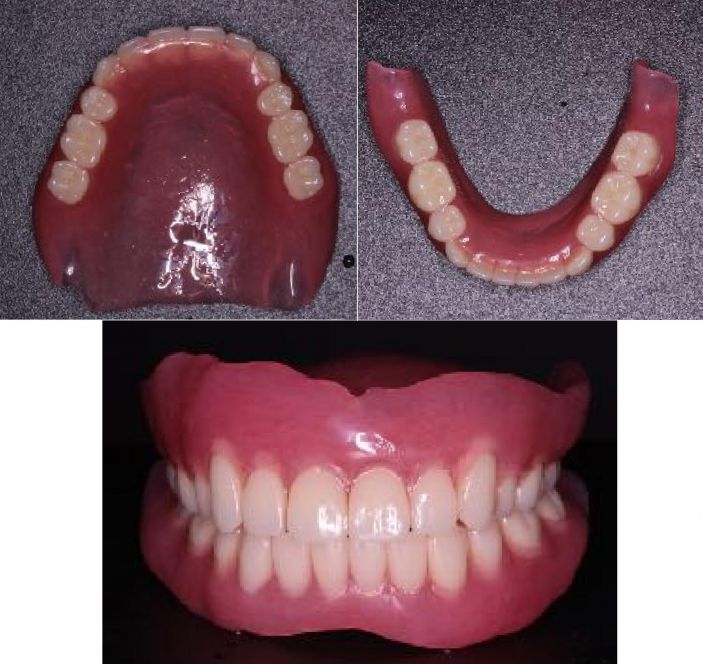
七、充膠、戴牙




八、修複前後對比



△修複前



△修複後




張洪傑

口腔科主治醫師



     
 揭陽市醫學會口腔醫學分會常務委員,畢業于中山大學光華口腔醫學院,曾在國内知名三甲醫院進修深造,從事口腔科臨床、教學工作十餘年,熟練掌握口腔科常見病、多發病及疑難病症的診治技術,如全瓷牙美容修複,種植修複,根管治療術,牙周治療等。在國家級刊物發表論文一篇,省級刊物發表多篇。



口腔科微信咨詢

醫院地址:廣東省普甯市流沙新河西路38号 郵政編碼:515300 聯系電話:0663-2787777 傳真号碼:0663-2767511

Copyright © 2011 康美醫院. All rights reserved. 京ICP證000000号醫療機構執行許可證:07190114-844528190A1001

普甯宏圖網絡